जोगेश्वरीत राहणाऱ्या रुकय्या खान या मुलीने खेळता- खेळता तोंडात धातूचे लॉकेट घातले. लॉकेट घशात अडकल्याने त्या मुलीच्या जीवावर बेतले होते. तिला खूप उलट्या व्हायला लागल्या. धास्तावलेल्या कुटुंबियांना काय करावं, हे सुचेना. पण कूपर रुग्णालयात त्या मुलीला दाखल केल्यानंतर डॉक्टरांनी कुठल्याही शस्त्रक्रियेविना एन्डोस्कोपी तंत्राने ते लॉकेट बाहेर काढले आणि रुकय्याच्या आई-वडिलांचा जीव भांड्यात पडला.

अवघ्या 1 वर्षांची रुकय्या ही जोगेश्वरीत तिच्या आई-वडिलांसोबत राहते. त्यांच्या शेजारी राहणारे धातूची लॉकेट्स बनवण्याचे काम करतात. सानेब खान यांच्या मुलांनीही त्यातील काही लॉकेट्स बनवण्यासाठी आपल्या घरी आणले होते. त्यातील एक लॉकेट चुकून घरीच राहिले. मंगळवारी दुपारी खेळता-खेळता रुकय्या हिने ते लॉकेट तिच्या तोंडात घातले. ते घशात अडकलं आणि रुकय्याचा श्वास घुसमटू लागला. तिला उलट्या होऊ लागल्या. पण, उलटीद्वारेही ते लॉकेट बाहेर येत नव्हते.

त्यानंतर रुकय्याच्या आईने बाहेर असलेल्या तिचे वडील सानेब खान यांना फोन करुन घरी बोलावून घेतले. रुकय्याच्या घशात काहीतरी अडकले आहे, हे तिच्या घशात हात घातल्यावर कळत होते.
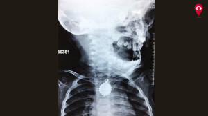
वडील खूप घाबरले. त्यांनी तिला कूपर रुग्णालयात दाखल केले. तिच्या अन्ननलिकेत लॉकेट अडकल्याचे डॉक्टरांनी सांगितले. डॉ. शशिकांत मशळ यांनी तत्काळ रुकय्याला ऑपरेशन थिएटरमध्ये नेले आणि एन्डोक्सोपीने तिच्या घशातील लॉकेट बाहेर काढले.
“ मंगळवारी रात्री रुकय्याला तिचे कुटुंबीय खूप घाबरलेल्या अवस्थेत रुग्णालयात घेऊन आले. त्यावेळी आम्ही तिला दाखल करुन घेतलं, तेव्हा कळलं की लॉकेट तिच्या घशाच्या अन्ननलिकेत फसलं आहे. लॉकेटचा बाह्यभाग धारधार असल्याने अगदी सावधपणे, अलगद आम्हाला एन्डोस्कोपी करावी लागली. नाहीतर तिच्या अन्ननलिकेला इजा झाली असती. पण, तिच्यावर आम्ही जेव्हा एन्डोस्कोपी केली तेव्हा अजिबात इजा होऊ न देता ते लॉकेट बाहेर काढण्यात आम्हाला यश आलं. अशावेळी पालकांनीही लहान मुलं तोंडात काही घालणार नाहीत याची काळजी घेतली पाहिजे. आता रुकय्याची प्रकृती उत्तम आहे. गुरुवारी दुपारी तिला डिस्चार्ज देण्यात आला आहे. ”
डॉ.शशिकांत मशळ, कान-नाक-घसा विभाग प्रमुख, कुपर रुग्णालय
“ मंगळवारी रात्री आम्ही रुकय्याला जोगेश्वरीच्या नूर रुग्णालयात घेऊन गेलो. पण, तिथून कुपरला जाण्याचा सल्ला दिला. तिच्या घशात काहीतरी अडकलं होतं. तिच्या आईने घशात हात घातला तिला उलटं करुन पाठ थोपटली. पण, ते लॉकेट निघालं नाही. पण, मग आम्ही शेवटी तिला कूपर मध्ये नेलं. तिथल्या डॉक्टर 10-15 मिनिटांत तिला ऑपरेशन थिएटरमध्ये घेऊन गेले. 10 ते 15 मिनिटांत एन्डोस्कोपी करुन गळ्यातलं लॉकेट काढलं. आता ती छान आहे. ”
सानेब खान , रुकय्याचे वडील
