
The surgeons at Apex Superspeciality Hospital situated in Borivali (West) performed a remarkable knee replacement surgery on a 46-year-old patient from Malad. The patient was experiencing constant knee pain for a long time and consulted many hospitals for treatment.
Fortunately, the patient got referred to Apex Group of Hospitals and Orthopedician & Joint Replacement Surgeon Dr. Amit Munde who reviewed his medical reports and other medical data and determined that the patient did not require a total knee replacement and instead a partial knee replacement will help him to recover from his discomfort.
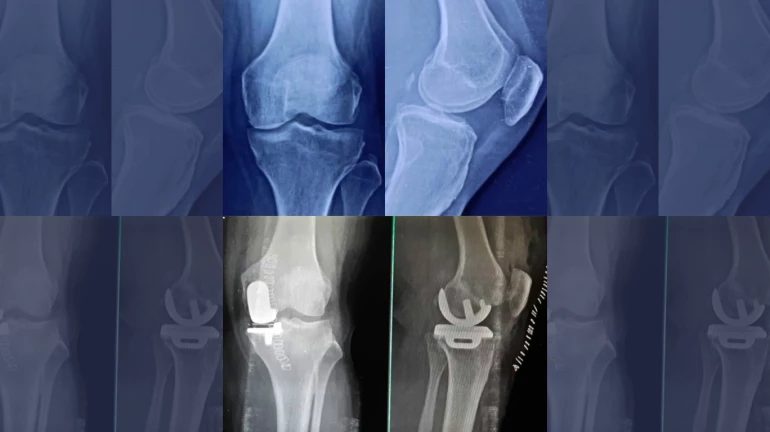
Dr. Amit Munde a Joint Replacement and Sports Injury Specialist from Apex group of Hospitals says, "A partial knee replacement operation, which removes the femur (knee cap) and replaces it with artificial implants. During knee replacement surgery, bone and cartilage damaged by osteoarthritis are resurfaced with metal and plastic components. In unicompartmental knee replacement (also called partial knee replacement) only a portion of the knee is resurfaced. This procedure is an alternative to total knee replacement for patients whose disease is limited to just one area of the knee. Because a partial knee replacement is performed through a smaller incision, patients usually spend little or no time in the hospital and return to normal activities sooner than total knee replacement patients."
Partial Knee Replacement surgery is a good option for those who suffer problems at an early age. Young women who have low bone density, often caused by low peak bone mass, are at an increased risk of getting osteoporosis later in life. Often, when premenopausal women have osteoporosis, it may be due to an underlying medical condition or a medicine that causes bone loss. The risk of osteoporosis is higher in women because women have smaller and thinner bones than men added by Dr. Amit Munde from Apex Superspeciality Hospital, Borivali.
